درمان غیر جراحی:
اولین و مهمترین درمان، استراحت یا برداشتن وزن از پای آسیبدیده است (که به آن تخلیه بار نیز میگویند). در مرحله اولیه پای شارکو، تخلیه به جلوگیری از التهاب کمک می کند و از بدتر شدن وضعیت جلوگیری می کند و از تغییر شکل جلوگیری می کند. تحمل وزن محافظت شده (راه رفتن با کفش مخصوص/ چکمه پیاده روی) در مراحل بعدی می تواند از عوارض ناهنجاری موجود جلوگیری کرده و از بدشکلی های جدید جلوگیری کند. تخلیه ممکن است شامل قرار دادن پا در یک گچ باشد که از آن محافظت می کند و از حرکت آن جلوگیری می کند. بیمار معمولاً از یک سری گچ یا گچ واکر متحرک در مجموع 8 تا 12 هفته استفاده می کند. از عصا، زانو واکر یا ویلچر برای جلوگیری از وارد کردن وزن بر روی پای آسیب دیده استفاده می شود. با پایین آمدن تورم پا، گچ چندین بار عوض می شود. گچ بر روی پا می ماند تا زمانی که قرمزی، تورم و گرما برطرف شود. پس از برداشتن گچ، به بیمار نسخه کفش داده می شود. کفشهای ارتوپدی تجویزی مناسب پا هستند و نقاط فشار را کاهش میدهند تا از آسیبدیدگی و زخمهای مکرر جلوگیری شود. یک وسیله رایج مورد استفاده، واکر ارتوتیک محدود کننده شارکو است. همچنین ممکن است پزشک تغییراتی را در فعالیت بیمار برای جلوگیری از آسیب بیشتر به پاها توصیه کند.
درمان جراحی:
جراحی برای آن دسته از بیمارانی که دارای ناهنجاری های شدید مچ پا و پا هستند که ناپایدار هستند و در معرض خطر بالای ایجاد زخم پا هستند توصیه می شود. علاوه بر این، اگر تغییر شکل استفاده از بریسها و ارتزها را دشوار کند، ممکن است جراحی نشان داده شود. پس از جراحی، بیمار باید برای مدت طولانی از قرار دادن وزن کامل روی پای شارکو خودداری کند. همه افراد مبتلا به پای شارکو باید تا آخر عمر خود را به پوشیدن کفش های محافظ و مراقبت بیشتر از پاهای خود اختصاص دهند. آموزش بیمار و اعضای خانواده در مورد مراقبت های پیشگیرانه از پا و علائمی که باید مراقب آنها بود، بخش مهمی از پیشگیری از مشکلات آینده است.

آیا می توانید از آن جلوگیری کنید؟
به طور منظم با یک پزشک پا که تجربه درمان مشکلات پای دیابتی را دارد، معاینه شوید. روزانه پاهای خود را از نظر تورم، قرمزی، لکه های گرم و زخم بررسی کنید. بین انگشتان پا را هم چک کنید. روزانه پاهای خود را بشویید و کاملا خشک کنید. همیشه جوراب و کفش بپوشید. سطح قند خون خود را تحت کنترل نگه دارید. برای جلوگیری از آسیب دیدگی، به خصوص در حین ورزش، مراقب باشید. به طور کلی، اگر شروع به مشاهده این تغییرات در پاهای خود کردید - به خصوص اگر پای شما شروع به تغییر شکل کرد - بلافاصله با پزشک خود تماس بگیرید.

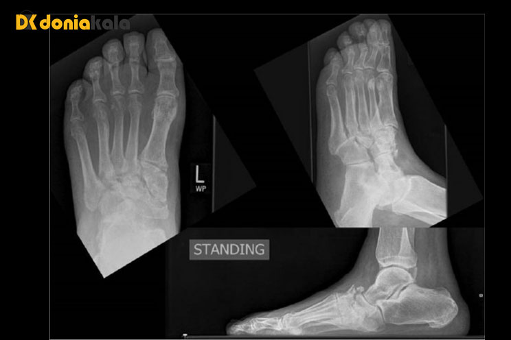
عوارض پای شارکو چیست؟
تغییر شکل در هر قسمت از پا یا مچ پا می تواند باعث ایجاد زخم های پوستی از فشار استخوان به کفش یا زمین شود. هنگامی که پای شارکو مچ پا را تحت تاثیر قرار می دهد، مفصل ممکن است ناپایدار یا "فلاپی" شود زیرا بافت جایگزین استخوان در مفصل شده است. این به اصطلاح "پا فلاپی" نیز می تواند باعث ایجاد زخم شود. زخم ها اغلب به دلیل عوارض دیابت، گردش خون ضعیف در پاها، ماندن طولانی مدت روی پاها و ایجاد عفونت ها دشوار است. زخم عفونی که بهبود نمی یابد می تواند اندام را تهدید کند و حتی منجر به قطع پا یا حتی ساق پا شود.
پیش آگهی (چشم انداز) برای افراد مبتلا به پای شارکو چیست؟
همه افراد مبتلا به دیابت که برای پای شارکو تحت درمان قرار گرفته اند، باید به طور منظم از یک متخصص پا و مچ پا یا متخصصی که بر مشکلات پا در افراد مبتلا به دیابت تمرکز دارد، مراقبت کنند. این متخصصان تغییرات جدید مربوط به شارکو و سایر عوارض پای مرتبط با دیابت را مشاهده خواهند کرد. بیمارانی که به دلایل دیگر به پای شارکو مبتلا هستند نیز باید طبق توصیه پزشک به طور منظم پیگیری شوند.

جهت خرید و قیمت ـ دیدن کفش های اورجینال و جدید پای شارکو اینجا کلیک کنید.