پای شارکو چیست What is Charcot foot؟
پای شارکو عارضه ای نادر اما جدی است که می تواند افراد مبتلا به نوروپاتی محیطی، به ویژه مبتلایان به دیابت را تحت تاثیر قرار دهد. شارکو روی استخوان ها، مفاصل و بافت های نرم پا یا مچ پا تاثیر می گذارد. استخوانها ضعیف میشوند و میتوانند بشکنند و مفاصل پا یا مچ پا دررفته میشوند. اگر در مراحل اولیه خود گیر نکند، مفاصل پا فرو می ریزند و پا در نهایت تغییر شکل می دهد. تغییر شکل پا می تواند باعث ایجاد زخم های فشاری در پا یا مچ پا شود. زخم باز با تغییر شکل پا می تواند منجر به عفونت و حتی قطع عضو شود.
چه کسی پای شارکو می گیرد؟
پای شارکو در افرادی که نوروپاتی محیطی دارند ایجاد می شود. این وضعیتی است که در آن اعصاب ساق پا و پا آسیب دیده است. آسیب باعث از بین رفتن حس در پا می شود.
علائم پای شارکو چیست؟
در مراحل اولیه، پا قرمز است، در لمس احساس گرما می کند و تورم قابل توجهی در اندام وجود دارد.

چه چیزی باعث ایجاد پای شارکو می شود؟
محققان تنها یک دلیل برای پای شارکو پیدا نکرده اند. اما برخی رویدادهای شناخته شده وجود دارد که شرایط مناسبی را برای توسعه آن ایجاد می کند. یکی از رویدادهای شناخته شده رایج، رگ به رگ شدن یا آسیب دیدگی ناشناخته است. از آنجا که فرد مبتلا به نوروپاتی محیطی است، نمی تواند درد یا سایر اعضای بدن را احساس کند و آسیب می تواند بدون توجه باشد. اگر شکستگی استخوان پا یا مچ پا به درستی درمان نشود، تغییر شکل می تواند بدتر شود و منجر به زخم پا و عفونت شود. پای شارکو نیز به عنوان یک عارضه پس از پیوند اعضا در بیماران دیابتی دیده شده است. (این امر به دلیل استفاده از داروهایی برای جلوگیری از پس زدن اندام است که عوارض جانبی آن باعث تحلیل استخوان و شکستگی می شود). وقتی قسمت میانی پا با پای شارکو درگیر می شود، قوس پا فرو می ریزد که پایین پا را گرد می کند. به این حالت بدشکلی کف پا می گویند. بسته به محل شکستگی استخوان، انگشتان پا می توانند زیر پنجه ها شروع به خمیدگی کنند یا مچ پا تغییر شکل داده و ناپایدار شود.

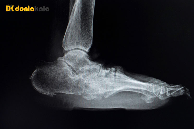
پای شارکو چگونه تشخیص داده می شود؟
در مراحل اولیه تشخیص پای شارکو دشوار است. اشعه ایکس اغلب طبیعی است. اگر اشعه ایکس و تست های آزمایشگاهی طبیعی باشد، پای شارکو با دانستن علائم بیماری تشخیص داده می شود. پای شارکو در افرادی که دیابت و نوروپاتی محیطی دارند و علائم زیر مشکوک است: پای قرمز، داغ و متورم (بدون زخم پا) و افزایش دمای پوست در پای آسیبدیده (در مقایسه با پای دیگر).
پای شارکو چگونه درمان می شود؟
تشخیص و درمان به موقع می تواند از آسیب بیشتر جلوگیری کند و از تغییر شکل و سایر عوارض جلوگیری کند. درمان سه هدف دارد: کاهش وزن از روی پا، درمان بیماری های استخوانی (معمولاً با گچ، بیس فسفونات ها و سایر مکمل ها گاهی اوقات استفاده می شود) و جلوگیری از شکستگی های جدید پا. درمان سه هدف دارد: کاهش وزن از روی پا، درمان بیماری های استخوانی و جلوگیری از شکستگی های.

جهت خرید و قیمت ـ دیدن کفش های اورجینال جدید و مخصوص پا درد اینجا کلیک کنید.