کفش آرتروز ـ خرید و قیمت کفش مخصوص آرتروز | قیمت کتانی مناسب آرتروز | آشنایی با انواع مختلف آرتروز | معرفی انواع آرتروز |
آرتروز دست انواع آن:
1. آرتروز انگشت دست یا استئوآرتریت تراپزیومتاکارپال Trapeziometacarpal osteoarthritis:
استئوآرتریت مفصل ذوزنقهای تارکپال که ریزارتروز نیز نامیده میشود، یک یافته رایج در نیمه دوم زندگی است. شیوع آن در زنان بیشتر است و در جوامع مسن از اهمیت فزاینده ای برخوردار است. انواع مختلفی از گزینه های درمانی محافظه کارانه و جراحی شناخته شده است، از جمله درمان محافظه کارانه تا جایگزینی مفصل. بدون درمان، ریزارتروز می تواند منجر به درد ناتوان کننده و از دست دادن عملکرد دست شود. درمان استئوآرتریت ذوزنقهای متاکارپ باید زودتر با اقدامات محافظهکارانه مانند آتلبندی و فیزیوتراپی آغاز شود، که میتوان آن را با مسکنهای خوراکی و موضعی و سپس انفیلتراسیون موضعی تکمیل کرد. اگر همه این مداخلات تسکین کافی را ایجاد نکرد، باید به جراح دست مراجعه کرد.
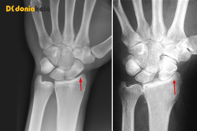
2. آرتریت یا آرتروز مچ دست Wrist osteoarthritis:
افراد مبتلا به آرتریت/ آرتروز مچ دست درد، تورم و سفتی مچ دست دارند. آرتریت روماتوئید، آرتروز و آسیب های مچ دست می توانند باعث التهاب در مفصل مچ شوند. آمپول های استروئیدی، آتل مچ دست و داروهای ضد التهابی می توانند درد و تورم را کاهش دهند. به ندرت، افراد برای بهبود دامنه حرکتی و کاهش درد نیاز به جراحی دارند.
آرتریت/ آرتروز مچ دست چیست؟
آرتریت باعث درد و التهاب در مفصل مچ دست می شود. بسیاری از استخوان های کوچک مچ دست شما را تشکیل می دهند که دست و ساعد شما را به هم متصل می کند. مفصل مچ به شما کمک می کند دست خود را خم کنید، صاف کنید و بچرخانید. آرتروز در مچ دست شما باعث تورم و التهاب دردناک در این مفصل می شود.
انواع آرتریت/ آرتروز مچ دست:
می توانید در نواحی مختلف مچ دست دچار التهاب مفاصل شوید. ارائه دهندگان مراقبت های بهداشتی انواع آرتریت مچ دست را برای جایی که رخ می دهد نام می برند، از جمله:
رادیواولنار دیستال Distal radioulnar: آرتریت در جایی اتفاق می افتد که استخوان رادیوس با استخوان اولنا در ساعد برخورد می کند.
میدکارپال Midcarpal: آرتریت در هشت استخوان کارپال کوچک در مچ دست ایجاد می شود.
رادیوکارپال Radiocarpal: آرتریت در جایی ایجاد می شود که دو استخوان ساعد (رادیوس و اولنا) و استخوان مچ دست به هم می رسند.
انواع آرتروز:
1. آرتروز کمر و ستون فقرات/ آرتروز ستون فقرات چیست Osteoarthritis of the Spine ؟
استئوآرتریت یا آرتروز ستون فقرات Osteoarthritis of the Spine شکستگی غضروف مفاصل و دیسک های گردن و کمر است. گاهی اوقات، آرتروز خارهایی تولید می کند که بر اعصاب خروجی ستون فقرات فشار وارد می کند. این می تواند باعث ضعف و درد در بازوها یا پاها شود.
2. آرتروز مفصل فاست/ ارتروز فاست Facet joint arthrosis/ آرتروز فاست چیست what is Facet joint arthrosis ؟
کمردرد خفیف در میان بزرگسالان نسبتاً رایج است. اما درد شدید و دائمی در پشت می تواند اتفاق بیفتد، به خصوص با افزایش سن. آرتروز فاست عارضهای است که ممکن است افراد مسن و افرادی را که دچار آسیب یا ضربه به کمر شدهاند، تحت تاثیر قرار دهد. آرتروز فاست Facet joint arthrosis می تواند یک بیماری دردناک باشد و کیفیت زندگی شما را تحت تاثیر قرار دهد. اما راه هایی برای کمک به مدیریت و درمان آن وجود دارد.
3. آرتروز هیپ یا آرتروز لگن Hip arthritis/ آرتریت لگن چیست What is Hip arthritis / Pelvic arthritis؟
آرتریت هیپ به معنای زوال غضروف مفصل ران است. مفصل ران یک مفصل گوی و کاسه ای است که توپ در بالای استخوان ران (سر استخوان ران) قرار دارد. توپ توسط غضروف از سوکت (استابولوم) جدا می شود. غضروف به عنوان یک پوشش لغزنده بین توپ و سوکت عمل می کند که به توپ اجازه می دهد در هنگام حرکت پا به آرامی سر بخورد و بچرخد. لابروم، غضروفی قوی که لبه بیرونی سوکت را می پوشاند، ثبات را فراهم می کند. هنگامی که غضروف لگن آسیب می بیند، آسیب پذیر می شود. نازک شدن غضروف باعث تنگ شدن فضای بین استخوان ها می شود. در موارد پیشرفته، استخوان روی استخوان ساییده می شود و هر حرکتی می تواند باعث درد و سفتی شود. هنگامی که اصطکاک در هر نقطه ای بین استخوان ها وجود داشته باشد، می تواند منجر به خارهای استخوانی شود - رشد استخوان در لبه های استخوان که شکل آن را تغییر می دهد.
4. آرتروز زانو knee arthritis/ آرتروز زانو چیست knee arthritis؟
آرتریت زانو التهاب و زوال غضروف مفصل زانو است. غضروف پوششی لغزنده روی انتهای استخوان ها است که به عنوان یک بالشتک عمل می کند و به زانو اجازه می دهد تا به آرامی خم و صاف شود. غضروف زانو انتهای استخوان ران (ران)، بالای استخوان ساق پا (درشت نی) و پشت کاسه زانو (کشکک) را می پوشاند. هنگامی که غضروف از بین می رود، فضای بین استخوان ها باریک می شود. در آرتریت پیشرفته، مالش استخوان روی استخوان و خارهای استخوانی (برجستگی روی استخوان) ممکن است ایجاد شود. آسیب به غضروف مفصل در طول زمان ممکن است منجر به ایجاد یا بدتر شدن ناهنجاریهای زانو، از جمله زانوهای ضربهای و زانو شود.
5. آرتروز شست پا Osteoarthritis of the toes/ آرتریت انگشتان شست پا/ آرتروز شست پا چیست what is Osteoarthritis of the toes؟
آرتریت در انگشتان پا التهاب مزمن مفاصل جلوی پا است. مفصلی که اغلب تحت تاثیر قرار می گیرد، مفصل متاتارسوفالانژیال (MTP) است که شست پا را به بقیه قسمت های پا متصل می کند. علائم آرتریت انگشت پا شبیه به آرتریت است که سایر مفاصل را تحت تأثیر قرار می دهد: حساسیت، تورم، سفتی و درد. شایعترین علل آرتریت انگشت پا، ساییدگی و پارگی (دژنراسیون) غضروفی است که استخوانهایی را که مفاصل را تشکیل میدهند، محافظت میکند، همانطور که در استئوآرتریت (OA) و آرتریت روماتوئید (RA)، یک بیماری خودایمنی رخ میدهد. آسیب ناشی از آسیب یا نقرس همچنین می تواند باعث آرتریت انگشت پا شود. درمان به علت و شدت آن بستگی دارد: یخ زدن و داروهای مسکن بدون نسخه (OTC) میتوانند تورم و درد را تسکین دهند، اما در موارد شدید ممکن است به ارتز، فیزیوتراپی یا حتی جراحی برای بازگرداندن از دست دادن عملکرد نیاز باشد.
جهت خرید و قیمت ـ دیدن کفش مخصوص انواع بیماری های آرتروز ـ آرتریت ـ بیماری آرتریت ـ آرتروز، کفش بیماری پا، پای صاف، خار پاشنه، دیابتی، کمردرد مدل زنانه و مردانه/ دخترانه و پسرانه به وب سایت دنیاکالا مراجعه فرمایید.






