بیماری ازگود-شلاتر چیست؟
بیماری ازگود-شلاتر وضعیتی است که باعث درد و تورم در زیر مفصل زانو می شود، جایی که تاندون کشکک به بالای استخوان ساق پا (درشت نی) می چسبد، نقطه ای به نام توبروزیته تیبیا. همچنین ممکن است التهاب تاندون کشکک که روی کاسه زانو کشیده می شود نیز وجود داشته باشد. بیماری ازگود-شلاتر بیشتر در ورزشکاران جوانی دیده می شود که ورزش هایی انجام می دهند که به پریدن و/یا دویدن زیاد نیاز دارند. ازگود شلاتر معمولاً در کودکان و نوجوانان رخ می دهد که دوران بلوغ و رشد را طی می کنند.
چه چیزی باعث بیماری ازگود-شلاتر می شود؟
بیماری ازگود-شلاتر Osgood-Schlatter در اثر تحریک صفحه رشد استخوان ایجاد می شود. استخوان ها در وسط رشد نمی کنند، بلکه در انتهای نزدیک مفصل، در ناحیه ای به نام صفحه رشد، رشد می کنند. در حالی که کودک هنوز در حال رشد است، این نواحی رشد به جای استخوان از غضروف ساخته شده است. غضروف هرگز به اندازه استخوان قوی نیست، بنابراین سطوح بالای استرس می تواند باعث شود صفحه رشد شروع به درد و تورم کند.

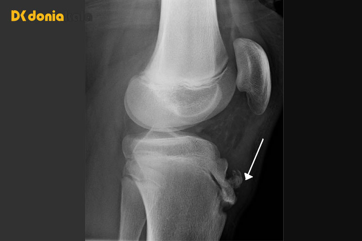
اشعه ایکس از زانو، شناسایی محل صفحات رشد:
تاندون کاسه زانو (کشکک) به صفحه رشد در جلوی استخوان ساق پا (درشت نی) متصل می شود. ماهیچه های ران (چهارسر ران) به کشکک می چسبند و وقتی کشکک را می کشند، کشکک را تحت فشار قرار می دهد. سپس تاندون کشکک استخوان درشت نی را در ناحیه صفحه رشد می کشد. هر حرکتی که باعث کشیدگی مکرر ساق شود میتواند منجر به حساسیت در نقطهای که تاندون کشکک به بالای استخوان درشت نی میچسبد، شود. فعالیتهایی که به زانو فشار وارد میکنند - بهویژه چمباتمه زدن، خم شدن یا دویدن در سربالایی (یا پلههای ورزشگاه) - باعث میشوند بافت اطراف صفحه رشد آسیب ببیند و متورم شود. همچنین ضربه زدن به ناحیه حساس دردناک است. زانو زدن می تواند بسیار دردناک باشد.

بیماری ازگود-شلاتر چگونه درمان می شود؟
بیماری ازگود-شلاتر معمولاً با گذشت زمان و استراحت از بین می رود. فعالیت های ورزشی که نیاز به دویدن، پریدن یا خم شدن عمیق زانو دارند باید تا زمانی که حساسیت و تورم کاهش یابد محدود شود. یخ بعد از فعالیت مفید است و در صورت لزوم می توان یخ را دو تا سه بار در روز و هر بار 20 تا 30 دقیقه استفاده کرد. زمان مناسب برای بازگشت به ورزش بر اساس میزان تحمل درد ورزشکار خواهد بود. یک ورزشکار با بازی کردن با کمی درد به زانوی خود آسیب نمی رساند. پزشک شما همچنین ممکن است تمرینات کششی را برای افزایش انعطاف پذیری در جلو و پشت ران (عضلات چهارسر ران و همسترینگ) توصیه کند. این را می توان از طریق تمرینات خانگی یا فیزیوتراپی رسمی به دست آورد. داروهایی مانند استامینوفن (تیلنول) یا داروهای ضدالتهابی غیراستروئیدی (NSAIDs) - مانند ایبوپروفن (Aleve و Advil) - می توانند برای کمک به کنترل درد استفاده شوند.
آیا برای بیماری ازگود-شلاتر به جراحی نیاز است؟
تقریباً در هر مورد نیازی به جراحی نیست. این به این دلیل است که صفحه رشد غضروف در نهایت رشد خود را متوقف می کند و با توقف رشد کودک با استخوان پر می شود. استخوان قوی تر از غضروف است و کمتر مستعد تحریک است. درد و تورم از بین می رود زیرا صفحه رشد جدیدی برای آسیب دیدن وجود ندارد. درد مرتبط با بیماری ازگود-شلاتر تقریباً همیشه زمانی پایان می یابد که رشد نوجوان متوقف شود. در موارد نادر، درد پس از توقف رشد استخوان ها ادامه می یابد. جراحی تنها در صورتی توصیه می شود که قطعات استخوانی بهبود نیافته باشند. جراحی هرگز روی یک ورزشکار در حال رشد انجام نمی شود، زیرا صفحه رشد ممکن است آسیب ببیند. اگر با وجود درمان درد و تورم ادامه داشت، ورزشکار باید مرتباً توسط پزشک معاینه شود. اگر تورم همچنان افزایش یابد، بیمار باید مجدداً ارزیابی شود.

جهت خرید و قیمت ـ دیدن کفش های مخصوص بیماری های پا درد اینجا کلیک کنید.