شکستگی پایلون مچ پا چگونه درمان می شود؟
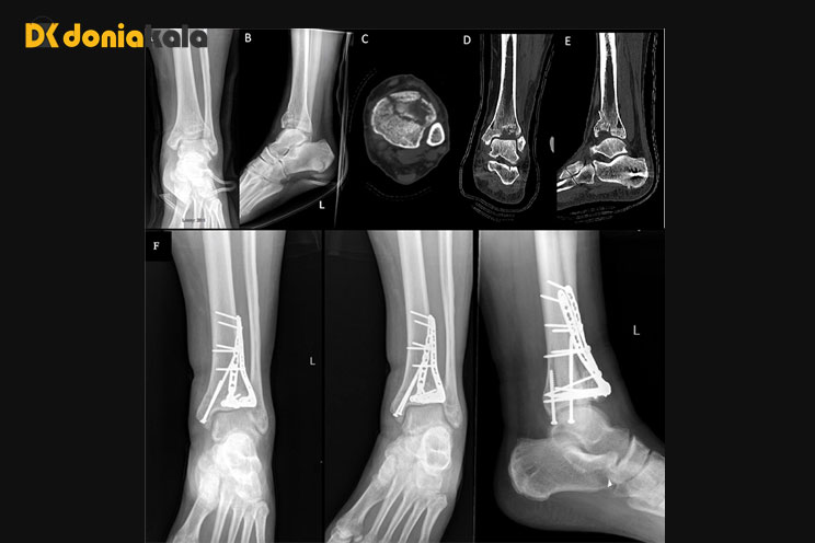
برخی از افراد با شکستگی پیلون نیازی به جراحی نخواهند داشت. اگر استخوان های درشت نی شما هنوز هم به درستی ردیف می شوند، ممکن است نیازی به جراحی نداشته باشید. درمان های غیر جراحی عبارتند از: آتل، برای اینکه در ابتدا مچ پای خود را در جای خود نگه دارید ـ گچ یا چکمه، زمانی که تورم شما کاهش یابد ـ داروهای ضد درد ـ اگر شرایط پزشکی دیگری دارید که ممکن است جراحی را بیشتر خطرناک کند، ممکن است پزشک شما درمان غیرجراحی شکستگی پیلون را نیز توصیه کند. اگر استخوانهای شکستگی پیلون شما در جای خود قرار نگرفته باشد، احتمالاً به جراحی نیاز خواهید داشت. این جراحی توسط جراح ارتوپد انجام می شود. جراح شما ممکن است جراحی شما را تا زمانی که تورم شما کاهش نیابد به تاخیر بیاندازد. در حالی که منتظر هستید، ممکن است نیاز به یک آتل یا نوع دیگری از پشتیبانی داشته باشید. در طول جراحی، جراح شما می تواند فیکساسیون داخلی را انجام دهد. این کار برای قرار دادن دائمی استخوان های شما در موقعیت صحیح برای کمک به بهبود آنها انجام می شود.

جراح شما از صفحات و پیچ های فلزی در استخوان استفاده می کند تا استخوان ها را در موقعیت صحیح نگه دارد. بسته به میزان جراحات شما، جراح ممکن است این کار را در 2 جراحی جداگانه انجام دهد. پس از بهبود اندکی پای شما، جراح ممکن است یک بریس یا آتل متحرک برای شما تجویز کند تا هنگام برداشتن آن بتوانید فیزیوتراپی انجام دهید. این تمرینات به بازیابی و حفظ دامنه حرکتی و قدرت شما کمک می کند. شما باید چندین ماه پس از آسیب دیدگی از عصا استفاده کنید. جراح شما همچنین ممکن است دارویی (رقیق کننده خون) برای جلوگیری از لخته شدن خون در پای شما در حین بهبودی تجویز کند. همچنین ممکن است دستورالعمل هایی را در مورد رژیم غذایی به شما ارائه دهد، مانند اطمینان از اینکه رژیم غذایی حاوی کلسیم، ویتامین D و پروتئین زیادی دارید. ممکن است از شما بخواهد که برخی از انواع داروهای بدون نسخه را برای درد مصرف نکنید. این به این دلیل است که اینها ممکن است در بهبود استخوان اختلال ایجاد کنند. اگر سیگار میکشید، پزشک شما را تشویق به ترک سیگار کند، زیرا این امر میتواند در بهبود استخوان نیز اختلال ایجاد کند.

عوارض احتمالی شکستگی پیلون مچ پا چیست؟
ممکن است در اثر شکستگی پیلون عوارضی داشته باشید، مانند: سفتی در مفصل شما (که فیزیوتراپی ممکن است به شما کمک کند) ـآرتریت مچ پا، باعث درد مزمن مچ پا می شود ـ عفونت، که ممکن است نیاز به درمان با آنتی بیوتیک یا جراحی بعدی داشته باشد ـ استخوانی که به خوبی بهبود نمی یابد، که ممکن است نیاز به جراحی بعدی داشته باشد ـ درد ناشی از صفحات و پیچهای مورد استفاده در جراحی شما (ممکن است بعداً آنها را بردارید) ـ مشکلات در بهبود زخم ـ آسیب رگ خونی یا عصبی ناشی از شکستگی پیلون شما ـ لخته خون ـ خطر عوارض شما ممکن است با توجه به سایر شرایط پزشکی و شدت آسیب شما متفاوت باشد. به عنوان مثال، اگر شکستگی شدید پیلون داشته باشید، احتمال ابتلا به آرتریت در مفصل مچ پا بیشتر است. تمام دستورالعمل های ارائه دهنده مراقبت های بهداشتی خود را به دقت دنبال کنید. این ممکن است به کاهش خطر عوارض کمک کند.
جهت خرید و قیمت ـ دیدن کفش های مخصوص شکستگی پا اینجا کلیک کنید.